COLUMNコラム
COLUMN 04
自分の口臭は気づきにくい!原因と対策
自分の口臭は気づきにくい!原因と対策
【口臭ケア】はしていますか?👄歓送迎会や秋の行楽シーズン、飲食の場で近くで人とお話する機会が多くなると相手のお口のニオイが気になってしまった...という人もいるはずです。口臭ケアの製品がドラッグストアなどで販売されていますが、歯科医師の目線でみると本当に効果あるの?というものも実はあります...口臭の原因を正しく理解しケアを行い楽しい時間を過ごしましょう。
1 口臭の原因
口臭のいちばん怖さは自覚症状がない方が多いことです😨自覚症状があるのは25%という報告が多いのですが実は40~50%以上の人に口臭があるという研究結果もあります。*1 *3
1-1 全身状態とお口の中の環境
口臭の原因はさまざまですがまずお口の中と全身状態のふたつに分けられます。90%はお口の中(口腔内)が原因といわれています。そのほか胃など消化器系の疾患が隠れていることがあるのため注意が必要です。*2

1-2 口腔内が汚い=食べカス&口腔内細菌
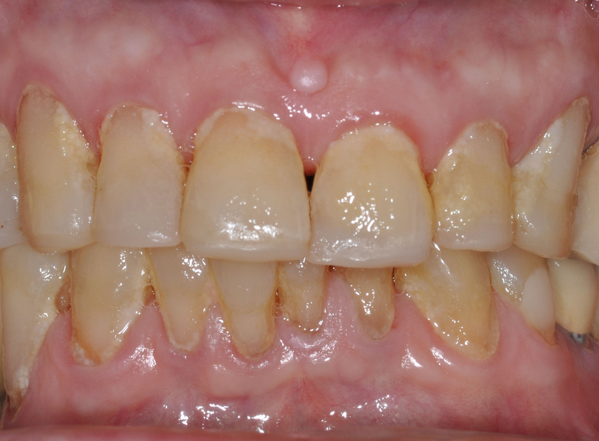
口腔内には多量の細菌が生息します。すべての細菌が悪さをするわけではありませんが食べたあとや砂糖やプロテインを含むドリンクを飲んだまま放置して口腔内が不衛生になると細菌叢のバランスが崩れ、悪臭のあるガスを排出する悪玉菌がふえることで不快感を与える口臭になります。 臭いの成分は揮発性硫黄化合物(VSC)といわれ、硫化水素、メチルメルカプタン、ジメチルサルファイドなどが含まれます。*2

舌の上が白い場合は舌苔(toung coating)といいます。舌苔は歯磨きでとりれなかった食べカスや腐敗した細菌の残骸などの汚れが長時間口腔内に滞留し、舌の表面にプラークやタンパク質が付着してできるものです。舌苔の中でも歯周病源細菌がいると強いガスを放ちます。*3
2 正しい口臭対策の方法
「部屋の中に生ごみを放置して家に帰ったらなんか臭う...」口臭は👈と同じ状況です。生ごみを捨てないと臭いはなくならないのは当然全ですよね?口臭ケアの基本は【お口の中を綺麗にする】ことです。(汚いままタブレット食べても意味ないですよ!)
2-1 ホームケア
特別なことよりもまずは歯磨き、フロス。スペシャルケアとして舌磨き&マウスウォッシュがおすすめ。夜寝る前にしっかり一日の汚れをとって寝ることが大切です。
①ブラッシング
歯磨きの前にじっくり鏡で自分の歯をみてみましょう。

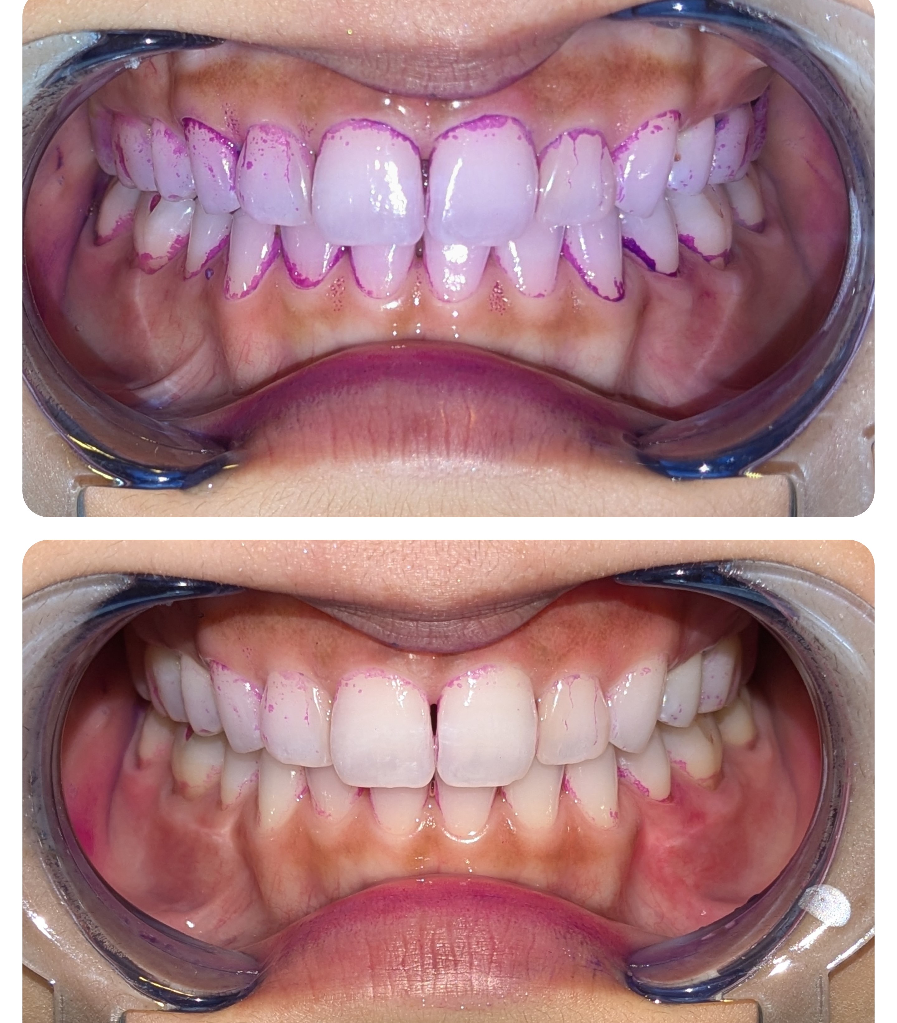
写真のようなしろっぽいネバっとした汚れがついていませんか?これがプラーク=細菌の塊です。歯と歯ぐきのあいだに歯ブラシをあてて、夜寝る前の歯磨きはフロスを含めて5~10分程度で丁寧に行いましょう。プラークが分からない方は染めだし液を週に1回程度使うとセルフチェックができます。子どものときや歯科医院にいったときに使うイメージがあるかもしれませんが、ご自宅でも使用できます。レトルトパウチに入った綿棒タイプがおすすめです。

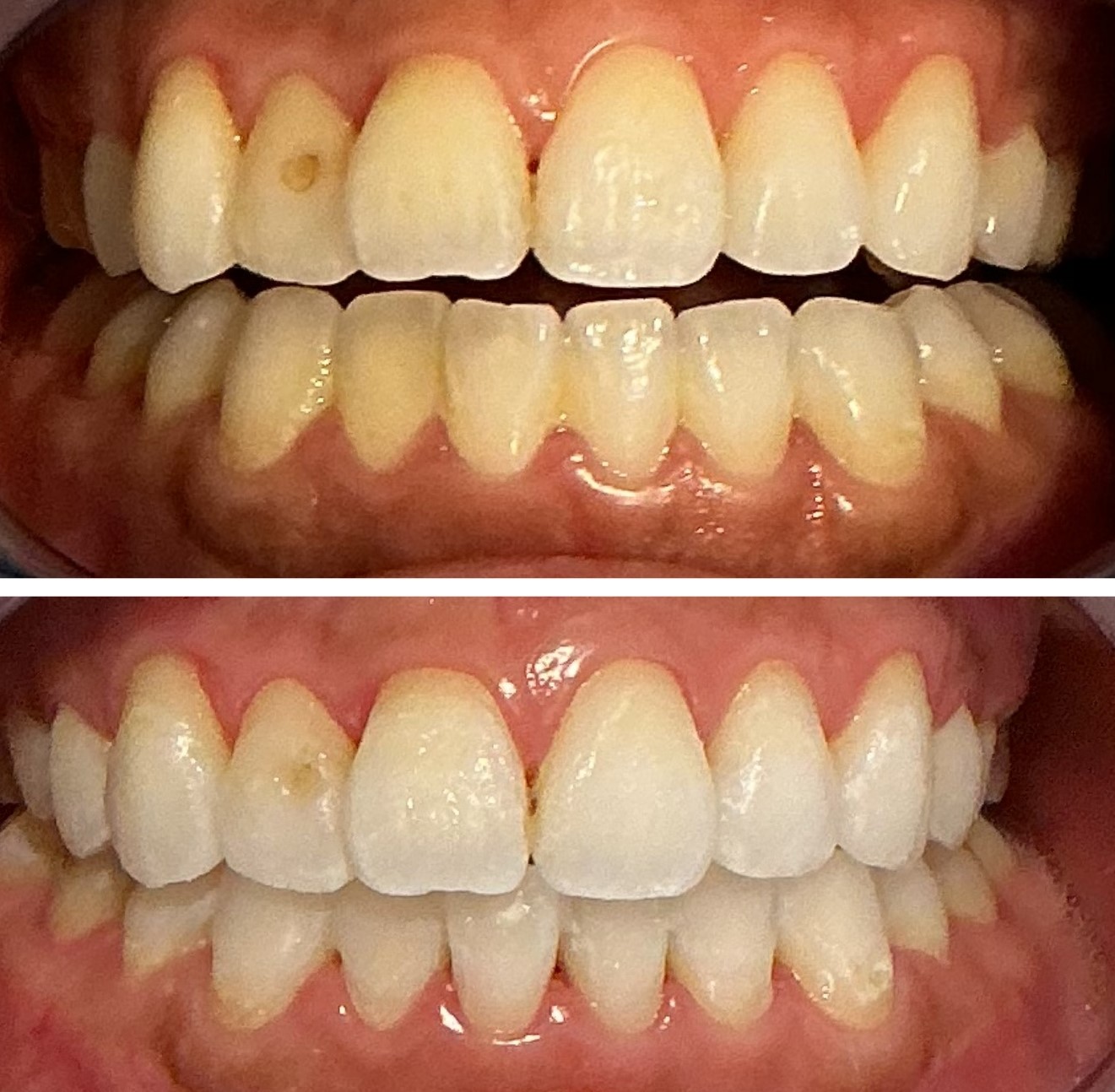
歯と歯ぐきのあいだは優しくプラークを落としましょう。歯磨きはよごれが落ちてなくても、『磨きすぎ』もよくありません。歯ブラシは【ふつう~やわらかめ】がおすすめ。

当院では歯と歯ぐきのあいだを優しく磨ける【HALILON ウルトラソフト電動歯ブラシ】を販売しております。
②フロス
フロスは基本的に【毎晩夜寝る前1回】行いましょう。食べカスが潜んだままだと口臭は消えません!

③舌磨き
舌の白い汚れが気になる方は専用の舌ブラシを使いましょう。磨きすぎても傷ついてかえって舌苔がつきやすくなってしまうため優しく落とすのがポイント。
SHIKIENの舌ブラシは新潟大学歯学部と共同開発し、特殊加工による極細ナイロン繊維が優しくかつしっかり舌苔をからめとります。

④マウスウォッシュ
仕上げにうがい薬を使うと粘膜に付着した細菌まで殺菌することができます。ガム・ナイトケアリンスはノンアルコールで浮遊細菌を殺菌できるCPC(塩化セチルピリジウム)を配合、歯の表面のコーティング効果でプラークがつきにくくなります。

2-2プロフェッショナルクリーニング
歯石や歯磨きで落としきれないプラークをクリニックでとってもらいましょう。かたくなってしまった歯石や歯と歯ぐきのあいだの歯周ポケットに入り込んでしまった汚れは歯ブラシでは落とせません。クリニックでは超音波スケーラーを使用しとりきれない汚れをしっかりおとし、お口のなかを清潔な環境に導くことができます。

しっかりお口のケアをして行楽の秋、楽しみましょう🦷💖
引用文献
*1 Aylıkcı BU, Colak H. Halitosis: From diagnosis to management. J Nat Sci Biol Med. 2013 Jan;4(1):14-23. doi: 10.4103/0976-9668.107255. PMID: 23633830; PMCID: PMC3633265.
*2 Li Z, Li J, Fu R, Liu J, Wen X, Zhang L. Halitosis: etiology, prevention, and the role of microbiota. Clin Oral Investig. 2023 Nov;27(11):6383-6393. doi: 10.1007/s00784-023-05292-9. Epub 2023 Oct 16. PMID: 37843633.
*3Wu J, Cannon RD, Ji P, Farella M, Mei L. Halitosis: prevalence, risk factors, sources, measurement and treatment - a review of the literature. Aust Dent J. 2020 Mar;65(1):4-11. doi: 10.1111/adj.12725. Epub 2019 Nov 15. PMID: 31610030.
*4 Meyer, Simon & Giannopoulou, Catherine & Courvoisier, Delphine & Schimmel, Martin & Müller, Frauke & Mombelli, Andrea. (2016). Experimental mucositis and experimental gingivitis in persons aged 70 or over. Clinical and biological responses. Clinical oral implants research. 28. 10.1111/clr.12912.
ACCESSアクセス
〒105-0011
東京都港区芝公園2-3-9
荒井ビル4階
MEDICAL HOURS診療時間
| 診療時間 | 月 | 火 | 水 | 木 | 金 | 土 | 日 |
|---|---|---|---|---|---|---|---|
| 10:30~20:00 | ● | / | ● | / | ● | ▲ | ▲ |
▲:第2日曜日、第3土曜日は休診です



