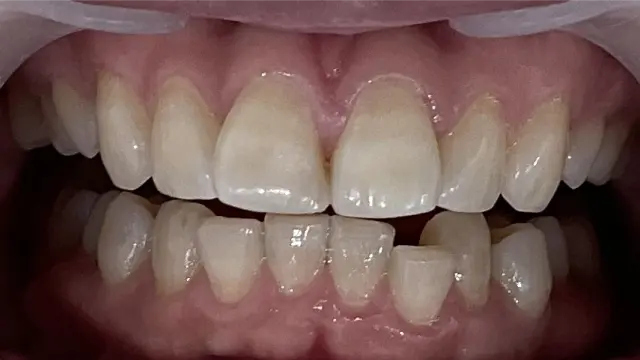
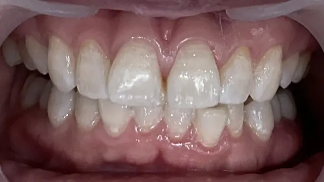
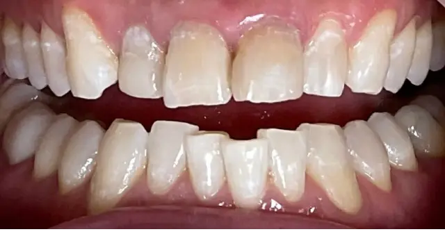
CASE症例
30代前半・女性
治療前

治療後

- 過去の施術
- オフィスホワイトニング
- 施術内容
- 強力ホワイトニング(10分×3回照射・75分)(上下10本)
- 費用
- 14,300円(税込)※自由診療
- 期間
- 1日(1回通院)
- 副作用・リスク
施術中にしみることがあります
後戻り(再着色)の可能性があります
効果には個人差があります
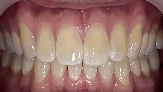
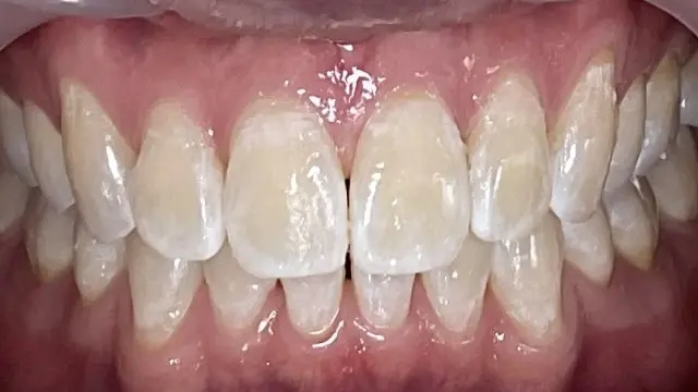
30代前半・男性
治療前

治療後

- 過去の施術
- ホワイトニングストリップス
- 施術内容
- 強力ホワイトニング(10分×3回照射・75分)(上下10本)
- 費用
- 14,300円(税込)※自由診療
- 期間
- 1日(1回通院)
- 副作用・リスク
施術中にしみることがあります
後戻り(再着色)の可能性があります
効果には個人差があります
40代前半・男性
治療前

治療後

- 過去の施術
- オフィスホワイトニング ※前歯2本は失活歯(神経のない歯)
- 施術内容
- マイルドホワイトニング(10分×2回照射)(上下12本)
- 費用
- 25,200円(税込)※自由診療
- 期間
- 2週間(2回通院)
- 副作用・リスク
施術中にしみることがあります
後戻り(再着色)の可能性があります
効果には個人差があります
30代前半・女性
治療前

治療後

- 過去の施術
- 経験無し
- 施術内容
- マイルドホワイトニング(10分×2回照射)(上下12本)
- 費用
- 37,800円(税込)※自由診療
- 期間
- 2か月(3回通院)
- 副作用・リスク
施術中にしみることがあります
後戻り(再着色)の可能性があります
効果には個人差があります
ACCESSアクセス
〒105-0011
東京都港区芝公園2-3-9
荒井ビル4階
MEDICAL HOURS診療時間
| 診療時間 | 月 | 火 | 水 | 木 | 金 | 土 | 日 |
|---|---|---|---|---|---|---|---|
| 10:30~20:00 | ● | / | ● | / | ● | ▲ | ▲ |
▲:第2日曜日、第3土曜日は休診です